
лет опыта
В нашей клинике мы предлагаем комплексное ортодонтическое и ортопедическое лечение. Наша главная задача – восстановить здоровье и эстетику полости рта, учитывая индивидуальные особенности каждого пациента.
Полный спектр ортопедических услуг для восстановления вашей улыбки
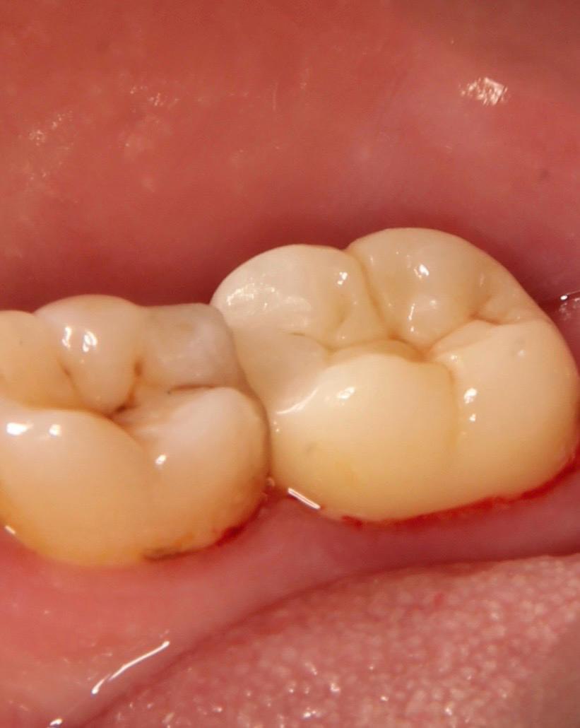
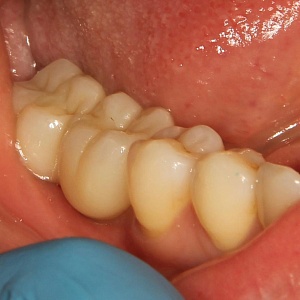
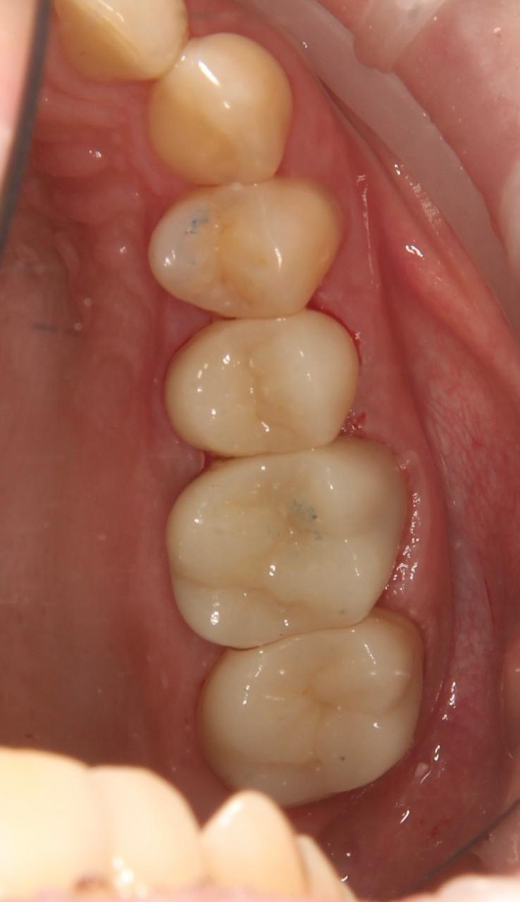
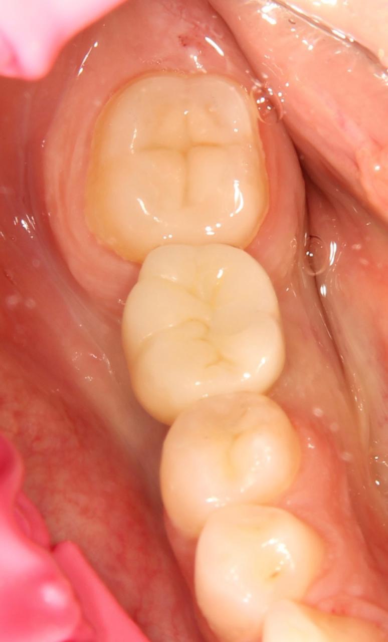
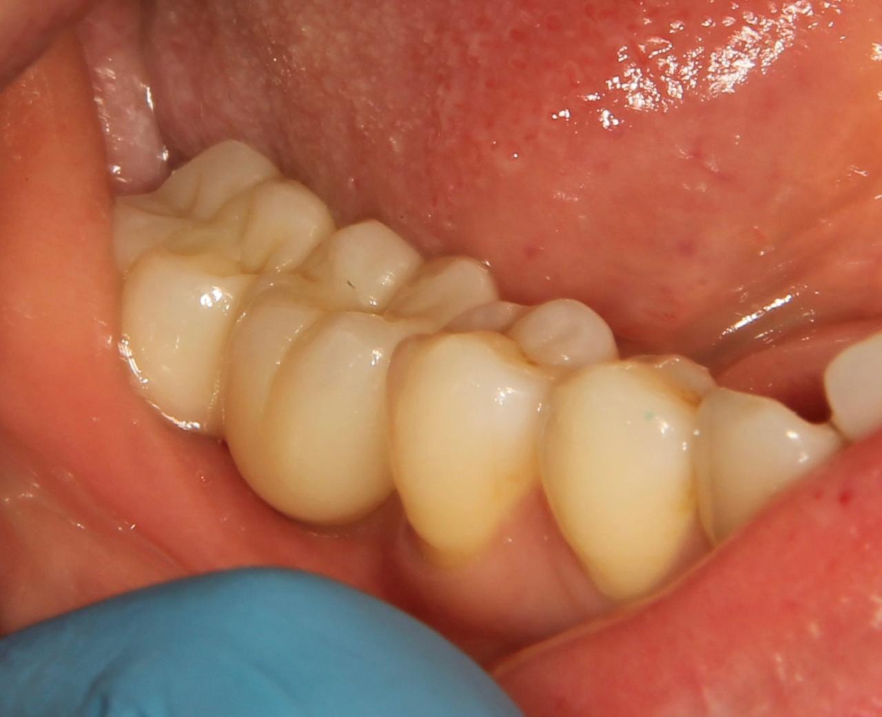
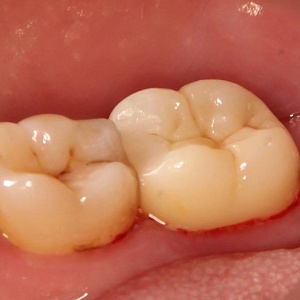
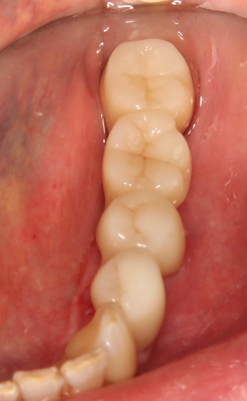
Восстанавливаем разрушенные зубы с помощью различных видов коронок (металлокерамика, керамика E-max, цирконий). Коронки защищают зубные ткани, восстанавливают жевательную функцию и улучшают внешний вид зубного ряда.
Замещаем отсутствующие зубы мостами, опирающимися на соседние зубы. Это надежный способ восстановления целостности зубного ряда без имплантации.
Предлагаем разные варианты съемных конструкций: частичные пластинчатые протезы (при отсутствии нескольких зубов), полные съемные протезы (при адентии), бюгельные протезы (с металлическим каркасом для повышенной прочности). Съемные протезы помогают восстановить жевательную функцию и эстетику, особенно в случаях, когда имплантация невозможна.
Совместная работа хирурга и ортопеда позволяет установить импланты (искусственные корни зубов), провести протезирование коронками на имплантах, добиться максимально естественного и долговечного результата. Импланты полностью имитируют натуральные зубы, сохраняют костную ткань челюсти и обеспечивают комфорт при жевании.
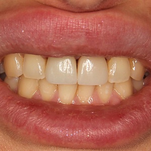
Микропротезы для эстетической коррекции: виниры (тонкие керамические накладки на переднюю поверхность зубов), вкладки (микропротезы, восстанавливающие форму и функцию зуба при значительном разрушении). Эти конструкции позволяют добиться идеальной улыбки с минимальным вмешательством.
Ориентировочные цены на основные виды протезирования зависят от:
· вида протеза (съемный, несъемный);
· материала (керамика, металлокерамика, цирконий);
· объема работ (количество зубов, сложность конструкции).
Точную стоимость мы рассчитываем после диагностики и составления плана лечения. В нашей клинике действует прозрачное ценообразование без скрытых платежей.

Получите подробный прайс-лист всех услуг стоматологии с актуальными ценами
Высококвалифицированный специалист с многолетним опытом
Ответы на популярные вопросы о ортодонтическом лечении
Сроком работы и ценой. Композитные виниры делаются из пломбировочного материала и требуют замены через 3-5 лет, керамические виниры изготавливаются из керамики emax, срок – от 10 лет. Эстетическая реставрация с керамическими винирами дает более долговечный и естественный результат.
Рекомендуется посещать стоматолога не реже двух раз в год для профилактических осмотров и чистки зубов. Однако, если у вас есть проблемы с зубами или деснами (пародонтит, повышенная чувствительность зубов), частота посещений может увеличиться.
1. Диагностика – осмотр полости рта, рентген, КТ, составление плана лечения.
2. Подготовка – лечение кариеса, удаление воспаленных тканей, профессиональная гигиена.
3. Выбор конструкции – подбор оптимального вида протезирования с учетом состояния зубов и челюсти.
4. Изготовление протезов – работа в современной зуботехнической лаборатории с использованием высококачественных материалов.
5. Установка – фиксация конструкций с максимальной точностью и комфортом для пациента.
6. Контроль и коррекция – наблюдение за состоянием протезов и полости рта в процессе ношения.
Чтобы протезы и коронки служили долго, важно соблюдать правила гигиены полости рта:
· чистить зубы дважды в день;
· использовать ирригатор и зубную нить;
· регулярно посещать стоматолога для профессиональной чистки;
· избегать чрезмерной нагрузки на протезы (твердая пища, открывание крышек зубами).
· опытные врачи ортопеды с многолетней практикой;
· современное оборудование для диагностики и лечения;
· индивидуальный подбор конструкций для каждого пациента;
· гарантия на все виды работ и материалов;
· комплексный подход (от диагностики до установки и контроля).
В нашей клинике есть несъемные конструкции (коронки, виниры, мостовидные протезы), съемные протезы (частичные и полные), имплантация с последующим протезированием. Выбор метода зависит от состояния зубов, пожеланий пациента и рекомендаций врача.
Отбеливание возможно только после завершения основного лечения (устранения кариеса, установки пломб, протезов). В случае наличия съемных или несъемных конструкций врач подберет безопасный метод отбеливания, чтобы не повредить материалы.
Время процедуры зависит от сложности случая и типа коронки. В среднем подготовка зуба – 30-60 минут, снятие слепков – 15-30 минут, примерка и фиксация готовой коронки – 30-40 минут. Общий срок от первого визита до установки коронки – от 1 до 3 недель (с учетом изготовления конструкции в лаборатории).
В случае значительного повреждения зуба врач может предложить восстановление с помощью вкладки (микропротез, укрепляющий зуб), установку коронки (для защиты и восстановления функции), удаление с последующей имплантацией и протезированием (если сохранение зуба невозможно). Решение принимается индивидуально после диагностики.
Свяжитесь с нами, и наши специалисты ответят на все ваши вопросы
Ищете стоматологию в Одинцово? Медицинский центр «Бэби Плюс» на улице Михаила Кутузова — это современная клиника, где приём ведут опытные стоматологи и ортодонты. Мы предлагаем диагностику и лечение по доступным ценам, включая услуги для детей и взрослых.
Стоматология «Бэби Плюс» рядом с ЖК «Гусарская баллада» — удобный выбор для жителей района. Мы используем проверенные методики, современное оборудование и прозрачные цены. Уточнить стоимость стоматологических услуг в Одинцово можно по телефону или при личном визите.
Если вам нужен хороший стоматолог в Одинцово — приходите к нам. Консультации, лечение кариеса, профессиональная гигиена и многое другое — недорого, удобно и без лишнего ожидания.
143072 Московская область, г. Одинцово, пос. ВНИИССОК, ул. Михаила Кутузова, д. 5а, пом. 1
Смотреть на карте



