Одинцово     На карте
ул. Михаила Кутузова, д. 5а На карте
Трёхгорка     На карте
ул.Кутузовская, д.15 На карте
Голицыно     На карте
пр-т Заводской д.12 На карте
Ежедневно 08.00-21.00
УВАЖАЕМЫЕ ПАЦИЕНТЫ!  C 1 февраля изменятся цены на услуги. Точную стоимость услуг и комплексных программ уточняйте у оператора по номеру 8 (495) 108-74-44.

/ Зубной кариес: как лечить самую распространенную болезнь полости рта

Зубной кариес: как лечить самую распространенную болезнь полости рта

Зубной кариес: как лечить самую распространенную болезнь полости рта

Кариес по праву называют одним из наиболее распространенных заболеваний в мире. Им болеют до 97 % жителей нашей планеты. Количество пациентов с таким диагнозом могло быть намного меньше, если бы нарушение целостности зуба всегда обнаруживалось на ранних этапах.

Что такое кариес зубов

Кариесом называют постепенное разрушение твердых тканей зуба. Этот процесс обычно протекает вяло и может затягиваться на годы.

Причиной того, что кариес принадлежит к наиболее распространенным заболеваниям, является уязвимость зубов к проникающим на их поверхность разрушительным бактериям. Даже регулярный тщательный уход за зубами не гарантирует отсутствия риска разрушения зубов.

Под влиянием прикрепившихся к поверхности зуба бактерий происходит медленное, но постоянное разрушение его целостности. На начальном этапе этот процесс можно выявить только применяя высокоточное диагностическое оборудование.

К провоцирующим факторам, вызывающим кариес, относятся:

  • плохой уход за полостью рта;
  • неправильное питание, злоупотребление твердой, сладкой и острой пищей;
  • плохое качество питьевой воды с низким содержанием фтора;
  • перенесенные в раннем детстве заболевания, например, рахит;
  • патологии органов желудочно-кишечного тракта.

Стадии развития болезни

В зависимости от степени выраженности симптомов патологии выделяют следующие этапы:

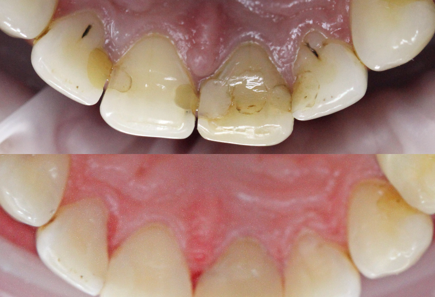
  • кариес эмали – на поверхности заметны небольшие пятна или потемнения;
  • поверхностный – на этом этапе человек испытывает дискомфорт и небольшую боль, обычно проявляющуюся при жевании или попадании холодной и горячей пищи;
  • средний кариес – повреждения локализуются глубоко в тканях под эмалью, боль усиливается;
  • глубокий – при отсутствии лечения разрушительный процесс достигает нерва, это состояние представляет опасность для зуба и общего состояния здоровья пациента.

Разновидность заболевания – пришеечный кариес. Разрушение происходит в прикорневой шейке зуба. Этот вид болезни представляет особую опасность, поскольку развивается очень быстро и сразу поражает корневые каналы.

Игнорирование проблемы не только приводит к разрушению и утрате зуба, но также может вызывать другие осложнения.

Чем опасен кариес для детей

Многие родители не считают нужным лечить молочный кариес, мотивируя свое решение тем, что зубы у детей временные и все равно рано или поздно выпадут. К тому же, многие мамы и папы, имея собственный негативный опыт лечения зубов, «жалеют» ребенка, оттягивая встречу со «страшным» доктором.

В этом случае можно точно утверждать, что родители делают малышу медвежью услугу, ограждая его от посещения стоматолога. Отсутствие лечения кариеса на раннем этапе приводит к разрушению и выпадению зуба задолго до нужного срока. Это чревато развитием неправильного прикуса, появлением дефектов речи, нарушениями в деятельности желудочно-кишечного тракта.

Отсутствие зубов также вызывает психологические страдания маленького ребенка.

На любой стадии кариеса зубы требуют эффективного лечения. Современные методы в стоматологии и использование инновационных технологий позволяют провести любое лечение кариеса без боли и дискомфорта.

Последствия глубокого кариеса

Игнорирование болезни на ранних стадиях заболевания может вызвать тяжелые осложнения, такие как:

  • пульпит – воспаление пульпы;
  • периодонтит – воспалительный процесс, локализующийся в верхушке корня зуба;
  • флегмоны и абсцессы;
  • распространение инфекции по другим системам организма;

Все перечисленные осложнения вызывают у пациента сильную боль, повышение температуры тела, увеличение лимфоузлов, отечность и припухлость лица, покраснение и болезненность десен. Заболевания значительно ухудшают качество жизни человека и отрицательно сказываются на его психо-эмоциональном состоянии.

Лечение на ранних этапах включает меры, направленные на укрепление эмали, устранение темных пятен. Далее перед стоматологами стоит задача избавления от острой и ноющей боли. Для этого устанавливают пломбы, проводят реминерализацию.

При глубоком кариесе спасти зуб обычно невозможно, его приходится удалять. Современная стоматология ставит перед собой задачу решения проблемы кариеса консервативными методами, прибегая к хирургическому удалению только в крайних случаях.

Лечение кариеса у взрослых и детей в клинике «Беби Плюс»

В нашем медицинском центре в Голицыно и Одинцово созданы все условия для безболезненного и безопасного лечения кариеса и других заболеваний зубов. Наши специалисты проведут точную диагностику, правильно подберут вам методы лечения и разработают рекомендации по дальнейшей профилактике болезни. У нас самые выгодные цены и комфортные условия в Подмосковье.

Дата публикации: 03.02.2021 15:47:24


Вызвать врача